 
                    
                        科室:
                                                骨科
                                                
                        职称: 主任医师
                    
擅长: 颈腰椎退变性疾病、脊柱骨折、脊柱肿瘤﹑脊柱畸形矫形以及脊柱结核的治疗,尤其以脊柱肿瘤﹑脊柱感染、脊柱畸形的手术治疗,和采用先进微创﹑内镜技术治疗颈腰椎椎间盘突出等退变性疾病知名。
四川大学华西医学中心研究生毕业,硕士研究生导师,四川省人民医院骨科脊柱组组长,从事脊柱外科临床工作20余年,成功开展数千例脊柱手术,曾多次到国内外著名脊柱外科中心交流学习。擅长颈腰椎退变性疾病、脊柱骨折、脊柱肿瘤、脊柱畸形矫形以及脊柱感染的治疗,尤其脊柱肿瘤﹑脊柱感染、脊柱畸形的手术治疗和采用先进微创﹑内镜技术治疗颈腰椎椎间盘突出等退变性疾病。
获得四川省“卫生健康英才计划”临床技能名师,四川省卫计委学术技术带头人后备人选,现担任四川省医师协会骨科脊柱外科学组副组长、四川省中西结合骨科微创专委会副主委、中国康复医学会骨与关节康复专业委员会骨肿瘤学组委员、四川省医师协会骨科医师分会委员、四川省中西医结合学会骨科专委会常委、四川省高原医学专委会常委、四川省医师协会骨科数字与智能化专业学组委员等。主持省部级科研项目一项,参编专著4本,发表论文10余篇,其中SCI 1区影响因子18.6分文章1篇,以及SCI 2区文章等,获国家专利授权2项。
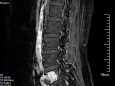
 攻克脊柱外科“手术禁区”,我院骨科成功实施高难度腰5椎体全切术
                              
                                                            攻克脊柱外科“手术禁区”,我院骨科成功实施高难度腰5椎体全切术
                               擘“脊”分理,共话前沿-我院骨科举办第二届OLIF实操班
                              
                                                            擘“脊”分理,共话前沿-我院骨科举办第二届OLIF实操班
                               “钥匙孔”手术助颈椎病患者快速康复
                              
                                                            “钥匙孔”手术助颈椎病患者快速康复
                               90岁脊柱肿瘤患者术后康复出院
                              
                                                            90岁脊柱肿瘤患者术后康复出院