新闻中心

  • 托管赋能医旅协同,我院托管巴中市中心医院后联合走进光雾山开展景区一线急救科普 医联体

    托管赋能医旅协同,我院托管巴中市中心医院后联合走进光雾山开展景区一线急...

    2025年10月18日上午,光雾山—诺水河世界地质公园博物馆广场,我院麻醉科一、二党支部联合由我院承建的国家(四川)紧急医学救援队、巴中市中心医院麻醉手术部党支部,会同当地文广旅部门等开展“党建引领医旅协同、助力革命老区健康”联合主题党日...

    发布时间:2025-10-21|来自:麻醉手术中心
  • 医院临床营养学科建设与创新实践学术交流会在蓉召开 院内新闻

    医院临床营养学科建设与创新实践学术交流会在蓉召开

    为深入落实国家卫健委《临床营养科建设与管理指南》要求,推动医疗机构临床营养工作规范化、标准化与科学化发展,2025年10月17日至18日,由四川省预防医学会主办,四川省预防医学会医院临床营养分会与四川省人民医院共同承办的“医院临床营养学科建...

    发布时间:2025-10-19|来自:临床营养科
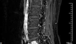
  • 攻克脊柱外科“手术禁区”,我院骨科成功实施高难度腰5椎体全切术 院内新闻

    攻克脊柱外科“手术禁区”,我院骨科成功实施高难度腰5椎体全切术

    近日,我院骨科俞阳主任医师团队成功为一罹患脊柱肿瘤的59岁男性开展“腰5椎体全切术”。腰5椎体全切术是骨肿瘤领域顶尖、最复杂的手术之一。我院开展该手术不仅为患者解除沉疴,也体现出骨科在脊柱肿瘤高精尖的诊疗能力已达到全国领先水平。患者8...

    发布时间:2025-10-16|来自:骨科
  • 我院举办2025年住院医师规范化培训新增师资培训班 院内新闻

    我院举办2025年住院医师规范化培训新增师资培训班

    为深入贯彻落实国家住院医师规范化培训政策,充实住培师资队伍、夯实师资的教学能力与专业素养,2025年10月14日至15日,我院举办了住院医师规范化培训新增师资培训班。全院各专业基地的110余名新增师资参加了现场培训。在培训班开班仪式上,教学部...

    发布时间:2025-10-15|来自:教学部
  • 2025年川渝两地检验医学学术会议在蓉召开 院内新闻

    2025年川渝两地检验医学学术会议在蓉召开

    2025年10月10日至12日,2025年川渝两地检验医学学术会议暨四川省医学会第二十五次检验医学学术会议在成都召开。四川省医学会检验专委会候任主任委员、我院临床医学检验中心主任蒋黎主持开幕式。会议以“智慧检验·精准诊疗·协同发展”为主题,汇聚...

    发布时间:2025-10-15|来自:临床医学检验中心
  • 川观新闻:西部健博会丨四川省人民医院徐如祥教授:微型植入式脑机接口“首展” 为重大脑疾病患者提供新解法 媒体报道

    川观新闻:西部健博会丨四川省人民医院徐如祥教授:微型植入式脑机接口“首...

    10月10日至12日,首届西部(成都)健康促进博览会(以下简称西部健博会)在中国西部国际博览城开幕,四川省人民医院展区凭借满满的科技感成为全场焦点。全球首台基于AROCS4×4越野底盘的全地形越野医疗方舱前,观众围着工作人员追问其复杂路况通行...

    发布时间:2025-10-11
  • 四川观察:世界精神卫生日丨心慌气紧?快来get这些心理健康知识点 媒体报道

    四川观察:世界精神卫生日丨心慌气紧?快来get这些心理健康知识点

    10月10日是第34个世界精神卫生日,今年的主题是“人人享有心理健康服务”,旨在促进对心理问题和精神疾病的正确认知,减轻社会歧视,增强心理健康服务的可及性。‌来自四川省精神医学中心擅长儿少、情感障碍、睡眠医学、女性心身等多个方向的14位专...

    发布时间:2025-10-11
  • 四川观察:发病率千万分之0.8,省医院再次成功实施这一罕见高难度手术 媒体报道

    四川观察:发病率千万分之0.8,省医院再次成功实施这一罕见高难度手术

    近日,四川省人民医院肝胆胰外科张宇主任团队联合医院罕见病中心、小儿外科、胃肠外科等多学科专家,为一名来自南京的14岁女孩儿,成功实施复发胰母细胞瘤根治性切除术,并于10月10日顺利康复出院。记者了解到,今年14岁的杨杨(化名),4岁时曾因...

    发布时间:2025-10-11
  • 医学院召开临床医学本科教学指导委员会会议 院内新闻

    医学院召开临床医学本科教学指导委员会会议

    2025年10月10日下午,电子科技大学医学院临床医学本科教学指导委员会会议在行政楼8楼纪念会议室召开。医院党委书记、院长杨正林等教指委委员及学生代表参加会议。会上,杨正林强调了本科教育的重要性,要求基础和临床教师着力提升本科教学质量,尤...

    发布时间:2025-10-11|来自:教学部
  • 我院亮相首届西部(成都)健康促进博览会,多维展示创新成果,赋能医院高质量发展新征程 院内新闻

    我院亮相首届西部(成都)健康促进博览会,多维展示创新成果,赋能医院高质...

    为深入贯彻健康中国战略、助力健康四川建设,10月10日至12日,首届西部(成都)健康促进博览会在中国西部国际博览城盛大举办。本次博览会以“健康四川·健联未来”为主题,吸引参展企业超500家,推动健康成果普惠共享。我院作为四川省医疗卫生领域...

    发布时间:2025-10-11|来自:院长办公室
  • 红星新闻:药房机器人、骨科手术机器人……高科技成果集体亮相首届西部健博会 媒体报道

    红星新闻:药房机器人、骨科手术机器人……高科技成果集体亮相首届西部健博会

    10月10日,为期三天的首届西部(成都)健康促进博览会(简称“西部健博会”)在中国西部国际博览城正式启幕。展会吸引全国超13个省(市)、省内21个市(州)共160余家单位参展参会,既有四川大学华西医院、四川省人民医院等28家行业标杆医疗机构,...

    发布时间:2025-10-11
查看更多...
  • 四川省医学科学院·四川省人民医院第二次党代会胜利召开

    四川省医学科学院·四川省人民医院第二次党代会胜利召开

    2020年7月30日上午9时,在庄严的国歌声中,四川省医学科学院·四川省人民医院第二次党代会在医院营养科三楼会议厅开幕。会场里悬挂着“肩负新使命、迈向新征程,全面改革创新推动省医高质量发展”的标语,主席台上金色的党徽和鲜艳的红旗格外庄重。...

    发布时间:2020-07-30|来自:党委办公室
  • 四川省眼科医学中心正式成立并举行揭牌仪式

    四川省眼科医学中心正式成立并举行揭牌仪式

    经省委编委批复,省人工晶体研究所(省白内障专科医院)职能和人员整体并入我院,与我院眼科“双赢合并”,成立四川省眼科医学中心。7月15日上午,四川省眼科医学中心正式成立并举行揭牌仪式。仪式由我院党委书记欧力生主持,省卫生健康委党组书记...

    发布时间:2020-07-15|来自:人力资源部
  • 院党委召开庆祝中国共产党成立99周年暨“七一”表彰大会

    院党委召开庆祝中国共产党成立99周年暨“七一”表彰大会

    6月30日下午,院党委召开庆祝中国共产党成立99周年暨“七一”表彰大会。党委书记欧力生,党委副书记、院长邓绍平等在家的院领导出席大会。党委委员,各党总支、直属单位负责人,党支部书记,受表彰的优秀共产党员、优秀党务工作者和先进党组织代表...

    发布时间:2020-07-01|来自:党委办公室
  • 5·12国际护士节,尹力省长到我院看望慰问护理工作者

    5·12国际护士节,尹力省长到我院看望慰问护理工作者

    5月12日上午,国际护士节当日,省委副书记、省长尹力在省委常委王一宏,省政府秘书长张剡和省直有关部门负责人的陪同下,来到我院看望慰问护理工作者和实习培训的护士学生代表,转达省委书记彭清华的问候,并向他们致以节日的祝福和诚挚慰问,希望...

    发布时间:2020-05-14|来自:护理部
  • 中华全科医学继续教育学院四川分院在我院成立

    中华全科医学继续教育学院四川分院在我院成立

    我院成立中华全科医学继续教育学院四川分院4月28日下午,行政楼八楼纪念会议室举行了“中华全科医学继续教育学院四川分院成立仪式”。因新冠病毒疫情的影响,中华医学会全科分会侯任主委、中华全科继续教育学院院长迟春花教授,浙江大学医学院附属...

    发布时间:2020-04-29|来自:全科医学中心
  • 疫情期间四川省人民医院一天之内完成两台高难度肺移植手术

    疫情期间四川省人民医院一天之内完成两台高难度肺移植手术

    2020年3月12日,四川省医学科学院·四川省人民医院肺移植团队多学科协作,继续开展高新难技术,在全国著名肺移植专家、医院肺移植病房荣誉主任陈静瑜教授带领下,新冠疫情期间,在一天之内成功完成两例危重症患者肺移植手术。陈静瑜教授术后感叹:...

    发布时间:2020-03-18|来自:呼吸与危重症医学科
  • 全国首家基于指静脉医保支付+聚合扫码支付在我院上线

    全国首家基于指静脉医保支付+聚合扫码支付在我院上线

    1月14日,经过半个多月试运行,全国首家基于指静脉医保支付+聚合扫码支付的随诊随结结算系统在我院骨科和内科部分诊室上线。今后,患者在我院就诊时,只需手指一扫即可完成医保结算。二非医保患者或医保自费部分则可用微信或支付宝现场支付,省去了...

    发布时间:2020-01-14|来自:医学信息中心 宣传部
  • 重获“心”生 我院完成我省首例跨省航空转运心脏移植

    重获“心”生 我院完成我省首例跨省航空转运心脏移植

    “患者目前生命体征平稳,肺动脉压逐渐降至正常,昨晚11时拔除漂浮导管。今日晨8时停呼吸机,拔除气管插管……”11月11日,在重症医学中心外科监护室召开了我院首例跨省转运心脏移植患者的多学科会诊,这也是我省首例跨省转运心脏移植。患者罗某,...

    发布时间:2019-11-13|来自:心脏外科中心 宣传部
  • 我院官方网站升级改版全新上线

    我院官方网站升级改版全新上线

    我院官方网站升级改版项目自2018年9月启动以来,历时8个月时间,于今年6月26日完成实施建设全新上线。经过1个月试运行,现在正式和大家见面啦!此次网站改版秉承为患者服务的理念,充分融入“互联网+”的医疗服务模式,将PC端与移动端紧密结合,精...

    发布时间:2019-07-26|来自:宣传部
  • 小儿外科应用达芬奇机器人完成前列腺囊肿切除双侧输精管尿道吻合术

    小儿外科应用达芬奇机器人完成前列腺囊肿切除双侧输精管尿道吻合术

    7月4日,儿童医学中心&小儿外科副主任唐耘熳主刀为一位饱受反复尿路感染、附睾炎折磨的3岁前列腺囊肿患者实施了达芬奇机器人辅助下前列腺囊肿切除、双侧输精管尿道吻合手术。前列腺小囊是位于后尿道的一个尿道憩室。它是由于苗勒管不完全退化或泌尿...

    发布时间:2019-07-11|来自:小儿外科
  • 我院完成西南地区首例3D打印半骨盆复合髂腰重建手术

    我院完成西南地区首例3D打印半骨盆复合髂腰重建手术

    7月11日,64岁的苏女士左脚穿着防旋鞋,安静地躺在病床上。再过不久,她就要开始功能锻炼,恢复行走啦。7月2日,苏女士在我院进行了3D打印半骨盆复合髂腰重建手术。该手术为西南地区首例,在全国范围也鲜有报道。苏女士罹患左侧骨盆肿瘤3年多,曾在...

    发布时间:2019-07-11|来自:宣传部 骨科
查看更多...
  • 2025年四川省住院医师规范化培训师资培训班在我院成功举办

    2025年四川省住院医师规范化培训师资培训班在我院成功举办

    为进一步加强我省住院医师规范化培训师资队伍建设,提升专业基地的教学与管理能力,由四川省卫生健康委毕业后医学教育委员会办公室(简称“省毕教办”)主办、四川省人民医院承办的“四川省2025年急诊科、康复医学科住院医师规范化培训师资培训班”...

    发布时间:2025-09-30|来自:教学部
  • 医信协同 共探器官移植科研平台新路径——器官移植中心党支部与医学信息中心党支部联合开展主题党日活动

    医信协同 共探器官移植科研平台新路径——器官移植中心党支部与医学信息中...

    为充分挖掘临床科研数据的潜在价值,助力我院器官移植学科高质量发展,9月24日,器官移植中心党支部与医学信息中心党支部联合开展“医信协同共探器官移植科研平台”主题党日。活动由器官移植中心党支部书记朱世凯主持,两支部党员及职工代表近20人...

    发布时间:2025-09-29|来自:器官移植中心
  • 院团委举办2025年“青春医路·同心同行”青年博士共建活动

    院团委举办2025年“青春医路·同心同行”青年博士共建活动

    为加强对青年工作的关注关心关怀,打破科室物理界限、凝聚青年奋进合力、增强沟通交流协作、缓解日常工学压力,9月26日下午,院团委在青龙湖湿地公园举行2025年“青春医路·同心同行”青年博士共建活动,来自全院11个团总支近三年入职的35岁以下博...

    发布时间:2025-09-29|来自:团委
  • 药学部举办“关注慢病用药,药师与您同行”世界药师日义诊活动

    药学部举办“关注慢病用药,药师与您同行”世界药师日义诊活动

    9月25日上午,药学部举办主题为“关注慢病用药,药师与您同行”的世界药师日合理用药义诊活动,普及安全合理用药知识,解答患者用药疑问。来自心血管、肾内、感染、妇科、老年、呼吸等多个专业的临床药师团队,为前来咨询的患者提供了专业的用药指...

    发布时间:2025-09-29|来自:药学部
  • 首届天府甲状腺疾病学术会议在蓉召开

    首届天府甲状腺疾病学术会议在蓉召开

    9月26日至27日,由四川省医疗卫生与健康促进会主办,我院与四川省医疗卫生与健康促进会甲状腺及甲状旁腺专委会承办的“首届天府甲状腺疾病学术会议”在成都顺利召开,同时进行了四川省医疗卫生与健康促进会甲状腺及甲状旁腺专委会换届改选,我院甲...

    发布时间:2025-09-28|来自:甲状腺外科
  • 宁夏回族自治区卫生健康委来院调研党支部建设工作

    宁夏回族自治区卫生健康委来院调研党支部建设工作

    根据省卫生健康委工作安排,9月23日,宁夏回族自治区卫生健康委二级巡视员王书铎一行来院调研我院党支部建设工作。院党委常委、副院长辜玉刚参加调研交流,省卫生健康委机关党办负责人陪同调研。辜玉刚代表院党委对调研组表示欢迎,向调研组介绍了...

    发布时间:2025-09-24|来自:党委办公室
  • 聚焦质量核心 引领发展新篇——我院举办第七期管理大讲堂,共话医疗质量体...

    为持续深化医疗质量管理内涵建设,赋能医院高质量发展,9月18日下午,2025年第七期“省医管理大讲堂”如期举行。本次讲堂特邀哈尔滨医科大学附属第一医院副院长潘宇教授作专题授课。全院各科室主管医疗质量的副主任、质控员,医务部、护理部、门诊...

    发布时间:2025-09-23|来自:组织部、院长办公室、医务部
  • 我院医药联合门诊案例入选医药协同创新实践交流项目全国卓越案例

    我院医药联合门诊案例入选医药协同创新实践交流项目全国卓越案例

    2025年9月20日,在健康报社主办的“医药协同创新实践交流项目全国评选中,我院药学服务案例《破局·拓新——4C理论驱动医药联合门诊的实践跃迁》凭创新的服务模式和显著的实践成效,从众多优秀案例中脱颖而出,以第一名的成绩强势入选全国卓越案例...

    发布时间:2025-09-23|来自:药学部
  • 减糖控体重,护牙促健康——口腔医学中心举行全国爱牙日系列活动

    减糖控体重,护牙促健康——口腔医学中心举行全国爱牙日系列活动

    今年9月20日是第37个“全国爱牙日”,宣传主题是“口腔健康全身健康”,副主题是“减糖控体重护牙促健康”。为贯彻落实《健康中国行动(2019-2030年)》《健康口腔行动方案(2019-2025年)》有关要求,促进人民群众掌握口腔保健知识,提升口腔健康...

    发布时间:2025-09-22|来自:口腔医学中心
  • 神经内科杨杰教授出席第十五届亚太卒中大会

    神经内科杨杰教授出席第十五届亚太卒中大会

    2025年第十五届亚太卒中大会于9月13日至15日在日本神户举行,主题为“AdvancingStrokeCare:GlobalandLocalChallenges”。我院神经内科杨杰教授受邀参会。参会期间,杨杰教授主持两场会议,并带领课题组先后5次发言,充分展现了我院在卒中领域的临床...

    发布时间:2025-09-21|来自:神经内科
  • 我院圆满完成2025年度国家专科医师规范化培训结业临床实践能力考核工作

    我院圆满完成2025年度国家专科医师规范化培训结业临床实践能力考核工作

    9月19日至20日,2025年度国家专科医师规范化培训结业临床实践能力考核在我院临床技能中心开展。根据中国医师协会和四川省卫健委统一部署安排,我院作为四川省两个国家专科医师规范化培训临床实践能力结业考核基地之一,承担了我省今年结业的内科危...

    发布时间:2025-09-20|来自:教学部
查看更多...
查看更多...
  • 我院与遂宁市人民政府签署战略合作框架协议

    我院与遂宁市人民政府签署战略合作框架协议

    为全面贯彻国家医药卫生体制改革精神,落实国家城市医联体建设试点任务,响应《健康四川2030纲要》相关要求,深入推进遂宁市医疗卫生事业与大健康产业又好又快发展。我院与遂宁市委市政府和相应医疗机构经过4个多月的调研及磋商,就建立全面战略合...

    发布时间:2020-01-03|来自:事业发展部
  • 我院淋巴瘤MDT团队赴达州中心医院指导交流

    我院淋巴瘤MDT团队赴达州中心医院指导交流

    为提高达州地区淋巴瘤诊疗水平,12月26日下午,达州市中心医院淋巴瘤MDT成立大会在达州市中心医院举行。受达州中心医院邀请,我院首席专家血液科王晓冬主任、病理科徐钢教授、核医学科谢红军主任、放射科陈光文副主任医师、血液科肖蓉副主任医师、姜...

    发布时间:2020-01-02|来自:血液科
  • 集团金牛医院成为金牛区泌尿外科质量控制分中心

    集团金牛医院成为金牛区泌尿外科质量控制分中心

    12月11日下午,金牛区泌尿外科质量控制分中心成立大会在我院医疗集团金牛医院举行。金牛区卫健局副局长白中毅、医政科科长赁涵冰,金牛区医学会会长杨学文,川大华西医院泌尿外科副主任、四川省泌尿专委会副主任委员王坤杰教授,成都市泌尿外科质控...

    发布时间:2019-12-20|来自:医疗集团金牛医院
  • 院党委书记欧力生到集团金牛医院指导党建工作

    院党委书记欧力生到集团金牛医院指导党建工作

    12月12日下午,省医院党委书记欧力生应邀到我院医疗集团金牛医院参加“不忘初心、牢记使命”主题教育金牛区医学会医院管理专委会学术交流会,以“以高质量党建推动医院高质量发展”为题专题授课,指导基层党组织全面提升党建工作质量。金牛区纪委派...

    发布时间:2019-12-20|来自:医疗集团金牛医院
  • 集团资阳医院举办“齐心协力,终结慢阻肺”义诊活动

    集团资阳医院举办“齐心协力,终结慢阻肺”义诊活动

    11月20日是第18个“世界慢阻肺日”,为切实提高群众对慢性阻塞性肺疾病的认识,倡导健康生活方式,我院医疗集团资阳医院组织呼吸内科和省医院专家10余人,在雁江区雁南社区举办了主题为“齐心协力,终结慢阻肺”的义诊活动。活动现场,专家们认真为...

    发布时间:2019-11-25|来自:医疗集团资阳医院
  • 5幅锦旗感谢集团崇州医院挽救危重症患者性命

    5幅锦旗感谢集团崇州医院挽救危重症患者性命

    11月13日,患者周某的哥哥和妻子来到我院医疗集团崇州医院,为神经外科、麻醉科、重症医学科、心血管内科的医护人员送来了5幅大红锦旗。一个病人同时送出这么多锦旗?患者家属在感谢信中写道:“多学科团队抢救见奇迹,彰显崇人医高水平救治”。10...

    发布时间:2019-11-15|来自:医疗集团崇州医院
  • 集团彭山医院药剂科到省医院药学部参观学习

    集团彭山医院药剂科到省医院药学部参观学习

    为跟进医疗改革步伐和三级医院评审要求,10月31日,集团眉山市彭山区人民医院药剂科王槐芾主任带领药剂科科干成员到省医院药学部参观学习。参观得到了省医院药学部热情接待。彭山医院为二级甲等医院,结合药剂科在管理工作中遇到的实际问题,重点参...

    发布时间:2019-11-08|来自:医疗集团彭山医院
  • 金牛区癌症防治中心在集团金牛医院成立

    金牛区癌症防治中心在集团金牛医院成立

    11月2日上午,金牛区癌症防治中心、四川省人民医院肿瘤专科联盟授牌仪式暨直线加速器启动仪式,在我院医疗集团金牛医院举行。金牛区卫健局局长邓开龙,成都市癌防中心主任汪瑜,金牛区疾控中心副主任毛丹梅,集团院本部肿瘤中心主任曾铭,金牛医院院长...

    发布时间:2019-11-05|来自:宣传部
  • 集团资阳医院与省医院专家在资阳举行世界卒中日义诊

    集团资阳医院与省医院专家在资阳举行世界卒中日义诊

    10月29日是第十四个“世界卒中日”。为普及脑卒中相关知识、做好脑卒中防治,29日上午,我院医疗集团资阳医院组织神经内科、外科、康复科、急诊科、营养科和集团院本部专家共18人,在资阳市西门桥广场举行了“世界卒中日”义诊活动。活动现场,专家...

    发布时间:2019-11-04|来自:医疗集团资阳医院
  • 集团金牛医院举行系列活动庆祝祖国七十年华诞

    集团金牛医院举行系列活动庆祝祖国七十年华诞

    10月1日,我院医疗集团金牛医院举行了系列活动,向伟大祖国七十华诞献礼。升国旗、唱国歌,齐唱响《今天是你的生日》,共同感悟我们与祖国同呼吸,与时代共奋进的爱国情怀和昂扬风貌,携手用拼搏进取,担当作为的实际行动。庄严隆重的升旗仪式,不...

    发布时间:2019-10-08|来自:宣传部
  • 集团金牛医院获“2019进一步改善医疗服务行动——全国医院擂台赛(西南赛区)”多项殊荣

    集团金牛医院获“2019进一步改善医疗服务行动——全国医院擂台赛(西南赛区)...

    9月27至28日,国家卫生健康委员会医政医管局、健康界主办的“2019进一步改善医疗服务全国医院擂台赛(西南赛区)”在蓉举行。经过激烈角逐,我院医疗集团金牛医院护理部申报的《提高门诊急救效率,优化急诊服务》荣“最具人气案例”奖、“优秀案例...

    发布时间:2019-10-08|来自:医疗集团金牛医院
查看更多...
  • 悉尼大学生殖中心教授到辅助生殖医学中心交流指导

    悉尼大学生殖中心教授到辅助生殖医学中心交流指导

      5月25日,欧洲著名胚胎学家、悉尼大学Westmesd生殖中心科学主任Cecilia Sjoblom教授到我院辅助生殖医学中心交流指导。  在辅助生殖医学中心吕群主任陪同下,Cecilia Sjoblom教授进入IVF实验室,观看了胚胎实验室工作环境和各项操作流程,对...

    发布时间:2018-06-05|来自:辅助生殖医学中心
  • 英国驻华使馆相关官员来我院访问交流

    英国驻华使馆相关官员来我院访问交流

    5月25日上午,英国驻华使馆卫生与社会保障一等秘书LottieMurphy(乐天)和英国驻华使馆卫生与社会保障高级政策官员ShaleenKhatri(崔羽乔)率英国驻华使馆相关人员一行6人在我院主动健康与医学转化中心马晶主任陪同下访问我院。我院邓绍平院长、蔡...

    发布时间:2018-05-28|来自:国际合作办公室
  • 香港食物及卫生局局长陈肇始一行来我院访问

    香港食物及卫生局局长陈肇始一行来我院访问

      5月11日下午,在香港食物及卫生局局长陈肇始的带领下,香港食物及卫生局与香港医疗界代表团一行来我院川港康复中心参访。省外侨办、省卫计委的相关人员陪同参访。我院党委书记欧力生、副院长蔡力接待代表团一行,在川港康复中心多媒体教室举行...

    发布时间:2018-05-14|来自:国际合作办公室 宣传部
  • 美国Dean McGee眼科医院专家来我院教学示范交流

    美国Dean McGee眼科医院专家来我院教学示范交流

      4月23日,受眼科教研室、眼科住培基地吴峥峥主任邀请,美国Dean McGee眼科医院专家代表团一行10人来到我院,为眼科住培、专培医师及带教师资开展为期一周的教学查房、病例分享等教学示范交流活动。  23日上午,专家代表团到达眼科住院部,我...

    发布时间:2018-05-04|来自:眼科
  • 内科教研室邀请美国华人医师开展住培医师及带教师资培训

    内科教研室邀请美国华人医师开展住培医师及带教师资培训

      为不断提高内科带教师资的质量,4月20日至23日,受内科教研室李良平主任及张学军主任邀请,美国加州泉山医疗集团张文刚主治医师来到内科呼吸与危重症医学科病房,为内科住培医师及带教师资开展了一次别开生面的教学交流活动。  20日上午,张文...

    发布时间:2018-04-23|来自:内科教学基地
  • 荷兰卫生、福利及体育医疗司长一行来我院访问

    荷兰卫生、福利及体育医疗司长一行来我院访问

      4月13日下午,荷兰卫生、福利及体育部医疗司长邓博仕率政府代表团和企业代表团一行20人在四川省保健委员会办公室专职副主任曾华俊、四川省卫生计生委国际合作处处长刘博的陪同下访问我院。我院副院长蔡力接待代表团一行并与外宾举行了座谈,医...

    发布时间:2018-04-18|来自:国际合作办公室
  • 华夏基金会2017-2018年度项目启动会暨川港护理学术交流活动开幕

    华夏基金会2017-2018年度项目启动会暨川港护理学术交流活动开幕

      4月12日上午,华夏基金会2017-2018年度项目启动会暨川港护理学术交流活动开幕式在我院成都铁路卫生学校举办。国家卫生健康委员会国际司副司长(港澳台办副主任)何炤华、香港华夏基金会总干事王雁高、华夏基金会项目学校协作会会长于文泉,北京...

    发布时间:2018-04-17|来自:国际合作办公室
  • 中芬医学人工智能研究中心签约仪式在我院举行

    中芬医学人工智能研究中心签约仪式在我院举行

      2018年1月16日,中芬医学人工智能研究中心合作谅解备忘录签约仪式在我院举行。邓绍平院长与中芬医学人工智能中心的芬方合作伙伴芬兰南卡雷利大区医疗集团董事长PenttiItkonen、芬兰艾维科技集团董事长PekkaKuosmanen,共同签署了谅解备忘录。芬...

    发布时间:2018-01-17|来自:急诊医学与灾难医学研究所 国际合作办公室
  • 美国密歇根大学医院呼吸与危重症医学科、放射科教授来院学术访问

    美国密歇根大学医院呼吸与危重症医学科、放射科教授来院学术访问

      近期,美国密歇根大学医院呼吸与危重症医学科、科射科的专家一行应我院呼吸与危重症医学科邀请来院进行了为期半个月的学术访问交流。  访问期间,该院呼吸与危重症医学科教授、肺移植医学项目主任、呼吸专科医师培训主任Kevin M. Chan,呼...

    发布时间:2017-11-29|来自:呼吸与危重症医学科
  • 美国密歇根大学教授与我院开展呼吸与危重症医学科专科医师培训合作项目交流

    美国密歇根大学教授与我院开展呼吸与危重症医学科专科医师培训合作项目交流

      11月13日至19日,美国密歇根大学Kevin M. Chan教授一行应我院呼吸与危重症医学科邀请来院进行了为期一周的访问。  访问期间,Kevin M. Chan教授一行向我院呼吸与危重症医学科、教育培训部、国际合作交流办公室介绍了美国密歇根大学呼吸与...

    发布时间:2017-11-29|来自:呼吸与危重症医学科
  • 以色列Assuta Ashdod 医学中心儿外主任一行来访我院

    以色列Assuta Ashdod 医学中心儿外主任一行来访我院

    11月17日上午,以色列驻成都总领事馆副总领事崔梧蕤携以色列本古里安大学 Assuta Ashdod 医学中心儿童外科主任Dr. Boris Orkin和以色列医疗小丑治疗师、以色列梦想医生项目主管Mr. Shlomoi Golan来到我院儿童医学中心参观访问,我院...

    发布时间:2017-11-22|来自:国际合作办公室
查看更多...
网站纠错