科室动态 - 胸外科

您的位置: 胸外科 科室动态
  • 胸外科举办星耀省医•外科高阶培训班暨胸外科食管癌&肺癌手术技术培训

    胸外科举办星耀省医•外科高阶培训班暨胸外科食管癌&肺癌手术技术培训

    8月23日,胸外科举办“星耀省医•四川省人民医院外科高阶培训班——胸外科食管癌&肺癌手术技术培训专场”。9名来自全国各地兄弟医院胸外科的医生参加了培训。胸外科主任冯刚介绍了科室基本情况。本次会议主题为“星耀省医”,我院胸外科的两位青年...

    发布时间:2025-08-24|来自:胸外科
  • 胸外科举办肺癌围术期规范化建设培训班暨项目授牌仪式

    胸外科举办肺癌围术期规范化建设培训班暨项目授牌仪式

    为进一步推动肺癌围术期诊疗规范化建设,提升区域胸外科诊疗水平,2025年8月9日,我院胸外科举办了“肺癌围术期管理规范化建设培训班暨国家卫健委肺癌围术期管理规范化建设项目授牌仪式”,来自青海、陕西、重庆等地的专家学者齐聚一堂,围绕肺癌围...

    发布时间:2025-08-16|来自:胸外科
  • 胸外科贾克刚团队成功开展经皮天平拉钩单孔胸腔镜前纵隔肿物切除术

    胸外科贾克刚团队成功开展经皮天平拉钩单孔胸腔镜前纵隔肿物切除术

    近日,我院胸外科贾克刚团队成功完成首例“经皮天平拉钩单孔胸腔镜下前纵隔肿物切除术”。此项技术的成功应用,标志着我院胸外科在前纵隔疾病微创治疗领域取得新突破,为患者提供了更安全、更高效的手术选择。患者术后恢复顺利,次日即可下床活动,...

    发布时间:2025-07-29|来自:胸外科
  • 第三届西部胸壁外科研讨会在蓉召开

    第三届西部胸壁外科研讨会在蓉召开

    2025年7月26日,由四川省国际医学交流促进会主办,四川省国际医学交流促进会胸壁外科专委会、我院和川大华西医院承办的“第三届西部胸壁外科研讨会暨四川省国际医学交流促进会胸壁外科专业委员会2025学术年会暨第五届四川省胸壁外科论坛”在成都召...

    发布时间:2025-07-27|来自:胸外科
  • 胸外科开展极微孔胸腔镜创新技术

    胸外科开展极微孔胸腔镜创新技术

    近日,我院胸外科成功开展“极微孔”胸腔镜手术。该技术可以在现有微创基础上进一步为患者减创,标志着胸外科技术向超微创、精准化的新发展方向迈进。近期手术的一位患者为43岁中年男性,因为右肺下叶磨玻璃结节行极微孔胸腔镜下的右肺楔形切除;另...

    发布时间:2025-07-07|来自:胸外科
  • 天府胸外微创外科会议及省卫促会胸外科专委会成立大会召开

    天府胸外微创外科会议及省卫促会胸外科专委会成立大会召开

    3月28日至29日,由四川省医疗卫生与健康促进会主办、我院(筹)承办的“第八届天府胸外微创外科会议及四川省医疗卫生与健康促进会胸外科专业委员会成立大会暨第一次学术会议”在成都召开。大会特邀中国科学院院士、国家癌症中心主任、中国医学科学...

    发布时间:2025-04-01|来自:胸外科
  • 胸外科党支部与成都青城山医院党支部开展双联党建推进患者全程管理

    胸外科党支部与成都青城山医院党支部开展双联党建推进患者全程管理

    为不断满足人民群众日益多元化的诊疗服务需求,2024年5月11日,四川省人民医院胸外科党支部副书记高虹、纪检委员曾富春同志带领部分党员、干部和职工,赴都江堰与成都青城山医院党支部开展以“党建引领,支部双联,共同推进患者全程管理”为主题的...

    发布时间:2024-05-15|来自:胸外科
  • “健康随烟而逝,疼痛伴烟而生”——胸外科开展禁烟日科普活动

    “健康随烟而逝,疼痛伴烟而生”——胸外科开展禁烟日科普活动

    每年5月31日为世界禁烟日,烟草对健康的危害是当今世界最严重的公共卫生问题之一。为提高人们对烟草危害的意识,更清楚直观的认识烟草的危害,胸外科于5月31日下午,选择在人流量较大的省医院地铁口和社区门口,对来往的就诊患者以及路人进行禁烟知...

    发布时间:2023-06-06|来自:胸外科
  • 我院胸外科谢升龙医生荣获第八届“大中华胸腔镜手术菁英赛”肺叶组全国冠军

    我院胸外科谢升龙医生荣获第八届“大中华胸腔镜手术菁英赛”肺叶组全国冠军

    2月17日,第八届大中华胸腔镜手术菁英赛总决赛在海南博鳌隆重举行,来自四川省人民医院胸外科谢升龙医生荣获肺叶组全国冠军。这也是继我院胸外科王友于医生于2019年获第六届大中华胸腔镜手术菁英赛全国食管组总冠军后的再一次殊荣。大中华胸腔镜手...

    发布时间:2023-02-20|来自:胸外科
  • 多个党支部联合开展“党建融合业务,临床科室与职能部门优势互补”主题党日...

    2月9日上午,科技部党支部、教育培训部党支部、药学部党支部,与胸外科党支部、肿瘤中心党支部一起,聚焦两个科室的学科建设和科研教学,联合开展“党建融合业务,临床科室与职能部门优势互补”主题党日活动。机关党总支书记杨莉梅、内科党总支书记...

    发布时间:2023-02-18|来自:胸外科
  • 胸外科增设第三病区

    胸外科增设第三病区

    为满足患者就医需求,适应专业发展需要,2月13日,胸外科第三病区在本部第一住院大楼4楼投入使用。第三病区共设置床位37张,开科两天即收治患者25例,胸外科总床位数也由原有的110张增加到147张,极大地缓解了患者的入院压力。2月18日,第一位病人...

    发布时间:2023-02-18|来自:胸外科
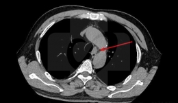
  • 我院成功开展首例充气式纵隔镜异位甲状旁腺肿瘤切除术

    我院成功开展首例充气式纵隔镜异位甲状旁腺肿瘤切除术

    3月31日,我院甲状腺外科、胸外科、内分泌科、手麻中心、影像科、病理科等科室组成的MDT团队,成功为一例上纵隔异位甲状旁腺肿瘤患者开展充气式纵隔镜手术。这是我院首次开展该术式,手术创伤小、视野清晰,患者恢复快。患者是一名49岁男性,因“反...

    发布时间:2022-04-02|来自:胸外科
网站纠错